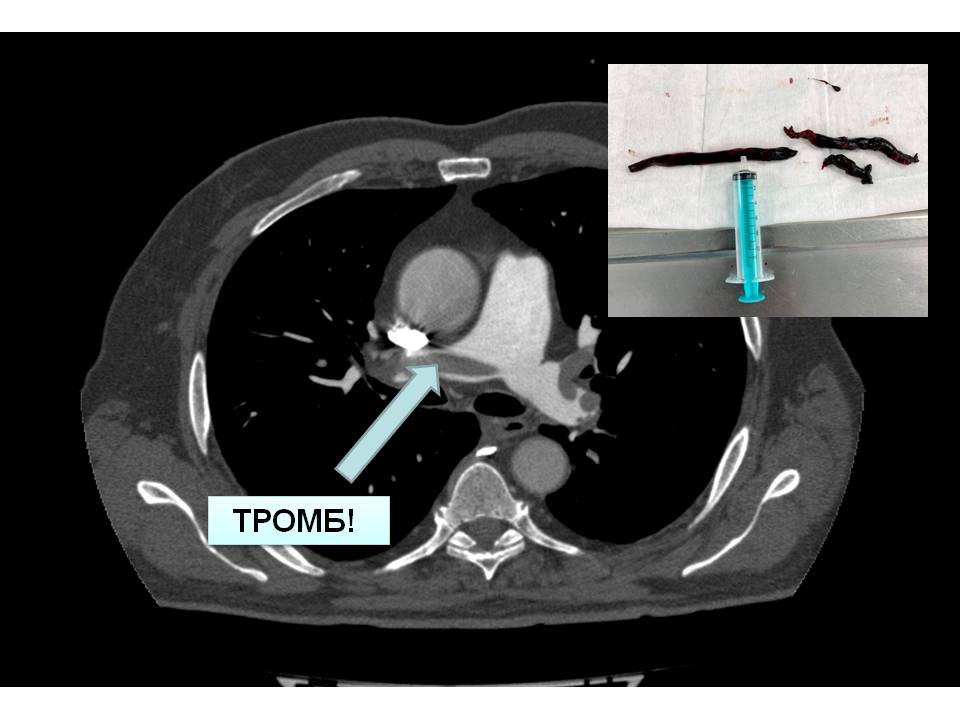
Хирурги извлекли из легочной артерии пациента тромбы длиной более 10 см
Номинация: Лучший пресс-релиз
Автор(ы): Шимина Светлана Николаевна специалист по связям с общественностью
Даты проекта
25 февраля — 15 мартаОписание проекта
ссылка на сам пресс-релиз на нашем официальном сайте https://rkd.med.cap.ru/press/2024/2/5/hirurgi-izvlekli-iz-legochnoj-arterii-pacienta-trohttps://rkd.med.cap.ru/press/2024/2/5/hirurgi-izvlekli-iz-legochnoj-arterii-pacienta-tro
Пресс-релиз опубликовал региональный Минздрав https://medicin.cap.ru/news/2024/02/05/hirurgi-izvlekli-iz-legochnoj-arterii-pacienta-trohttps://medicin.cap.ru/news/2024/02/05/hirurgi-izvlekli-iz-legochnoj-arterii-pacienta-tro
Собрала материал, всё узнала, всех расспросила, всё увидела своими глазами, ушла писать.
Был написан пресс-релиз выставлен на сайте учреждения, в социальных сетях и разослан в СМИ…и чудо случилось нас «разобрали» СМИ, а также разместили в своих соцсетях. В том числе и дзен
https://dzen.ru/news/story/3ce99732-77bb-52c0-a72b-e8cff58d1b5a?issue_tld=ru&utm_referrer=ya.ru
Вот некоторые из них:
|
07.02.2024 |
На-связи |
Чувашские хирурги достали из тела пациента 15-сантиметровые тромбы |
https://forum.na-svyazi.ru/?showtopic=3152713&ysclid=lsbdeu2p3893670151 |
|---|---|---|---|
|
06.02.2024 |
ГТРК Чувашия |
Чувашские врачи провели сложнейшую операцию и спасли пациента с тромбоэмболией легочной артерии |
https://chgtrk.ru/novosti/zdravoohranenie/chuvashskie-vrachi-proveli-slojneyshuyu-operaciyu-i-spasli-pacienta-s-tromboemboliey-legochnoy-arterii/ |
|
06.02.2024 |
Чебоксары Live |
Хирурги в Чувашии извлекли 10-сантиметровые тромбы из легочной артерии пациента |
https://cheb-live.ru/news/view/hirurgi-v-cuvasii-izvlekli-10-santimetrovye-tromby-iz-legocnoj-arterii-pacienta?ysclid=lsbde4dghv578816022 |
|
06.02.2024 |
АиФ-Чувашия |
Чувашские хирурги извлекли из пациента 10-сантиметровые тромбы |
https://chv.aif.ru/health/chuvashskie_hirurgi_izvlekli_iz_pacienta_10-santimetrovye_tromby?ysclid=lsa32qn4tv73918666 |
|
05.02.2024 |
Чебоксары. ру |
Хирурги извлекли из легочной артерии пациента тромбы длиной более 10 см |
https://www.cheboksary.ru/townn/134510_cheboksarskie_hirurgi_izvlekli_iz_legochnoj_arterii_patsienta_tromby_dlinoj_bolee_10_sm.htm?ysclid=ls8vbplm5215405534 |
|
05.02.2024 |
Комсомольская правда |
Вышел чистить снег и едва не умер: Из жителя Чувашии врачи извлекли 10-сантиметровые тромбы |
https://www.kazan.kp.ru/daily/27562/4887613/?ysclid=lsa30uwnwq581131962 |
|
05.02.2024 |
Прогород |
Житель Чувашии почистил снег и чуть не умер: лежал два дня дома, не зная, что смерть дышит в спину |
https://pg21.ru/news/93466?ysclid=lsa54ri0ic661333214 |
|
05.02.2024 |
Реализация национальна проектов в Чувашской Республике |
Хирурги извлекли из легочной артерии пациента тромбы длиной более 10 см |
https://np.cap.ru/news/2024/02/05/hirurgi-izvlekli-iz-legochnoj-arterii-pacienta-tro?site=medicin |
И вот ещё: https://ya.ru/search/?text=%D0%A7%D1%83%D0%B2%D0%B0%D1%88%D1%81%D0%BA%D0%B8%D0%B5+%D0%B2%D1%80%D0%B0%D1%87%D0%B8+%D0%BF%D1%80%D0%BE%D0%B2%D0%B5%D0%BB%D0%B8+%D1%81%D0%BB%D0%BE%D0%B6%D0%BD%D0%B5%D0%B9%D1%88%D1%83%D1%8E+%D0%BE%D0%BF%D0%B5%D1%80%D0%B0%D1%86%D0%B8%D1%8E+%D0%B8+%D1%81%D0%BF%D0%B0%D1%81%D0%BB%D0%B8+%D0%BF%D0%B0%D1%86%D0%B8%D0%B5%D0%BD%D1%82%D0%B0+%D1%81+%D1%82%D1%80%D0%BE%D0%BC%D0%B1%D0%BE%D1%8D%D0%BC%D0%B1%D0%BE%D0%BB%D0%B8%D0%B5%D0%B9+%D0%BB%D0%B5%D0%B3%D0%BE%D1%87%D0%BD%D0%BE%D0%B9+%D0%B0%D1%80%D1%82%D0%B5%D1%80%D0%B8%D0%B8&lr=37133&search_source=yaru_desktop_common&search_domain=yaru
Собрала материал, всё узнала, всех расспросила, всё увидела своими глазами, ушла писать.
Был написан пресс-релиз выставлен на сайте учреждения, в социальных сетях и разослан в СМИ…и чудо случилось нас «разобрали» СМИ, а также разместили в своих соцсетях. В том числе и дзен
https://dzen.ru/news/story/3ce99732-77bb-52c0-a72b-e8cff58d1b5a?issue_tld=ru&utm_referrer=ya.ru
Вот некоторые из них:
|
07.02.2024 |
На-связи |
Чувашские хирурги достали из тела пациента 15-сантиметровые тромбы |
https://forum.na-svyazi.ru/?showtopic=3152713&ysclid=lsbdeu2p3893670151 |
|---|---|---|---|
|
06.02.2024 |
ГТРК Чувашия |
Чувашские врачи провели сложнейшую операцию и спасли пациента с тромбоэмболией легочной артерии |
https://chgtrk.ru/novosti/zdravoohranenie/chuvashskie-vrachi-proveli-slojneyshuyu-operaciyu-i-spasli-pacienta-s-tromboemboliey-legochnoy-arterii/ |
|
06.02.2024 |
Чебоксары Live |
Хирурги в Чувашии извлекли 10-сантиметровые тромбы из легочной артерии пациента |
https://cheb-live.ru/news/view/hirurgi-v-cuvasii-izvlekli-10-santimetrovye-tromby-iz-legocnoj-arterii-pacienta?ysclid=lsbde4dghv578816022 |
|
06.02.2024 |
АиФ-Чувашия |
Чувашские хирурги извлекли из пациента 10-сантиметровые тромбы |
https://chv.aif.ru/health/chuvashskie_hirurgi_izvlekli_iz_pacienta_10-santimetrovye_tromby?ysclid=lsa32qn4tv73918666 |
|
05.02.2024 |
Чебоксары. ру |
Хирурги извлекли из легочной артерии пациента тромбы длиной более 10 см |
https://www.cheboksary.ru/townn/134510_cheboksarskie_hirurgi_izvlekli_iz_legochnoj_arterii_patsienta_tromby_dlinoj_bolee_10_sm.htm?ysclid=ls8vbplm5215405534 |
|
05.02.2024 |
Комсомольская правда |
Вышел чистить снег и едва не умер: Из жителя Чувашии врачи извлекли 10-сантиметровые тромбы |
https://www.kazan.kp.ru/daily/27562/4887613/?ysclid=lsa30uwnwq581131962 |
|
05.02.2024 |
Прогород |
Житель Чувашии почистил снег и чуть не умер: лежал два дня дома, не зная, что смерть дышит в спину |
https://pg21.ru/news/93466?ysclid=lsa54ri0ic661333214 |
|
05.02.2024 |
Реализация национальна проектов в Чувашской Республике |
Хирурги извлекли из легочной артерии пациента тромбы длиной более 10 см |
https://np.cap.ru/news/2024/02/05/hirurgi-izvlekli-iz-legochnoj-arterii-pacienta-tro?site=medicin |
И вот ещё: https://ya.ru/search/?text=%D0%A7%D1%83%D0%B2%D0%B0%D1%88%D1%81%D0%BA%D0%B8%D0%B5+%D0%B2%D1%80%D0%B0%D1%87%D0%B8+%D0%BF%D1%80%D0%BE%D0%B2%D0%B5%D0%BB%D0%B8+%D1%81%D0%BB%D0%BE%D0%B6%D0%BD%D0%B5%D0%B9%D1%88%D1%83%D1%8E+%D0%BE%D0%BF%D0%B5%D1%80%D0%B0%D1%86%D0%B8%D1%8E+%D0%B8+%D1%81%D0%BF%D0%B0%D1%81%D0%BB%D0%B8+%D0%BF%D0%B0%D1%86%D0%B8%D0%B5%D0%BD%D1%82%D0%B0+%D1%81+%D1%82%D1%80%D0%BE%D0%BC%D0%B1%D0%BE%D1%8D%D0%BC%D0%B1%D0%BE%D0%BB%D0%B8%D0%B5%D0%B9+%D0%BB%D0%B5%D0%B3%D0%BE%D1%87%D0%BD%D0%BE%D0%B9+%D0%B0%D1%80%D1%82%D0%B5%D1%80%D0%B8%D0%B8&lr=37133&search_source=yaru_desktop_common&search_domain=yaru


